Orthodontic Planning Software

NemoFAB Ortho is a premium orthodontic software that transforms 3D diagnosis and treatment planning.

It empowers orthodontists to visualize cases in 3D, increase treatment predictability, and improve patient outcomes.

Upgrade your orthodontic workflows with NemoFab Ortho

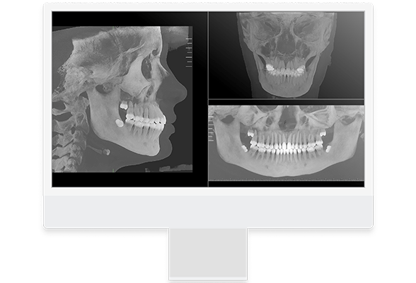
  • 3D Cephalometric Analysis

Accurate craniofacial measurements and relationships between teeth and bones for customized orthodontic planning

  • Airway Analysis

Quantifies airway volume and identifies potential obstructions linked to dental structures.

  • Model Orientation & Automatic Segmentation

Aligns skull volumes with intraoral scans for precise planning without manual alignment.

  • Virtual X-Rays (Lateral, Frontal, Panoramic)

Study dental structures, jaws, and TMJ in detail.

  • TMJ & Occlusion Analysis

Evaluate temporomandibular joint function and study occlusion with a virtual articulator.

  • Jaw Segmentation

Separate maxillary and mandibular bones to evaluate teeth-bone relationships.

  • 2D Photo to Tomography Mapping

Visualize facial structures with actual skin texture for improved patient communication.

  • Production Output

2D radiographs, bite splints, and TMJ analysis reports in PDF.


  • Enhanced Predictability

Combine NemoCast and NemoCeph for more accurate analyses.

  • 3D Advantage

Go beyond traditional 2D evaluation for comprehensive case visualization.

  • Patient Communication

Show realistic simulations to gain trust and treatment acceptance.

  • Seamless Workflow

Integrates diagnostics, planning, and outputs efficiently for clinics and labs.


  • Orthodontic clinics seeking high-precision 3D planning.
  • Multi-disciplinary practices combining orthodontics and TMJ studies.
  • Labs producing bite splints and orthodontic treatment reports.
  • Academic centers teaching advanced digital orthodontic workflows.

Call to Action

If you need to know more

Watch a video with the key features of NemoFAB|Ortho or download our brochure.